您好,欢迎访问陕西省中医药研究院陕西省中医医院官方网站!
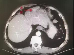
近日,陕西省中医医院血管病介入科成功开展首例原发性肝癌微波消融术。患者张某某,系原发性肝癌。入院检查,AFP:77.25ng/ml,上腹部增强CT示:肝左外叶见直径9mm小结节状异常强化影,考虑小结节型肝癌。

血管病介入科主任邓有峰立即组织科室成员进行病例讨论,在充分评估患者目前情况及手术风险后决定对患者行肝癌微波消融术。2020年12月02日在放射科积极配合下行CT引导下肝癌微波消融术。常规消毒铺巾、局部麻醉后,将微波消融穿刺针在术前体表定位处逐层插入肝脏肿瘤瘤体内,经过约10分钟70℃消融治疗再次行CT显示原肝脏肿瘤部位出现气化现象可见多个小空洞,周围呈磨玻璃样改变。手术过程顺利,患者无特殊不适。术后第二天复查血常规、肝功无明显异常,患者出院。


肝脏恶性肿瘤的微波消融术是目前国内发展迅速的一种微创治疗肝脏恶性肿瘤的新技术。它利用局部微波或者高频电流的热效应达到杀死肿瘤细胞的目的。微波消融术创伤小、痛苦小、术后恢复快且无放化疗副作用,对于小于5cm的原发性肝癌及少于5个的转移性肝癌均可获得与手术切除近似的疗效,且住院时间及住院费用均远远少于手术治疗。
近年来,微波消融术在各大医院广泛开展。我院血管病介入科在院领导的支持下积极开展微波消融术,旨在以患者为中心,为患者提供更优质、高效的医疗服务。
备案号:陕ICP备17003884号-1
电话:029-87213310 【全年咨询时间】08:00-12:00;14:00-17:30
Copyright © 版权所有:All Rights Reserved 陕西省中医医院
陕西省中医医院
陕西省中医药研究院