您好,欢迎访问陕西省中医药研究院陕西省中医医院官方网站!
6月9日晚上11点30分,1名头晕,有点迷糊的患者被人紧急送到陕西省中医医院急诊科,医护人员立即将患者送入抢救室并紧急评估。在此过程中患者突然意识丧失,触颈动脉搏动消失,双侧瞳孔散大,小便失禁,四肢末端发凉。医护当即进行心肺复苏,给予胸外按压,呼吸球囊辅助通气,心电监测示室颤波,进行电除颤、约3分钟后患者神志逐渐恢复。心电图检查提示II、III、AVF导联ST段明显抬高,考虑急性下壁心肌梗死。

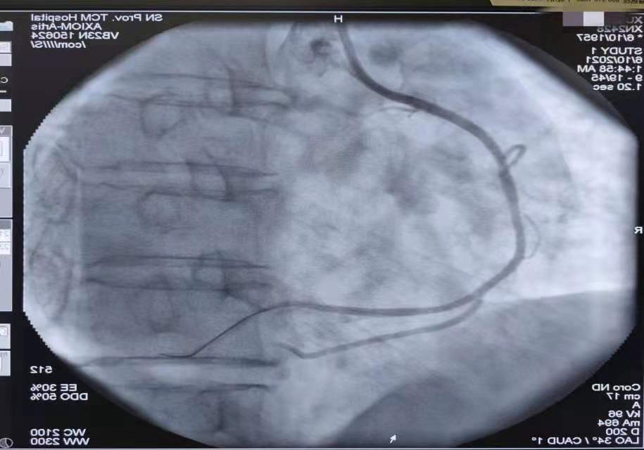
PCI术前

PCI术后
心病科张广平主任带领PCI团队迅速进行术前准备,患者再次出现室颤,意识丧失,急诊科医护人员立即再次给予心肺复苏和电除颤后约1分钟后,患者意识又逐渐恢复。紧急行PCI术,经过惊心动魄的介入治疗,手术成功,患者转危为安,并于6月15日病情好转出院。
备案号:陕ICP备17003884号-1
电话:029-87213310 【全年咨询时间】08:00-12:00;14:00-17:30
Copyright © 版权所有:All Rights Reserved 陕西省中医医院
陕西省中医医院
陕西省中医药研究院