您好,欢迎访问陕西省中医药研究院陕西省中医医院官方网站!
近日,陕西省中医医院神经外科成功为81岁脑肿瘤患者实施了开颅肿瘤切除术,切除了8cmx7cmx6.5cm的巨大脑膜瘤,使原本因肿瘤压迫左侧大脑运动功能区而导致右侧瘫痪的肢体恢复自由活动,目前已痊愈出院。
3年前家住渭南的王大爷体检发现颅内肿瘤,因为当时没有任何不适,故未做治疗。今年春节后患者出现右侧肢体无力,就诊于当地医院,头颅CT检查发现左侧大脑镰旁巨大肿瘤,患者及家属考虑年龄大,基础疾病多,惧怕手术,权衡风险后,未行进一步治疗。但病情进行性加重,入我院前1周,患者右侧肢体麻木,无力明显加重,不能独立行走,只能卧床。家属多方求医,经亲友介绍,遂来我院进一步诊治。

术前CT增强扫描影像(肿瘤位于大脑镰,累及矢状窦)
入院后完善检查,行头颅CT增强检查可见肿瘤位于左侧大脑镰部,并累及上矢状窦,且肿瘤深部还有一囊性病变,肿瘤强化明显,压迫运动区脑组织,造成患者右侧肢体瘫痪。患者年龄大,心肺功能不正常,并合并股骨颈骨折。为了保证手术的顺利进行,外科张强主任组织神经外科、麻醉科、心病科、肺病科、骨科等相关科室,进行会诊和术前讨论,制定了合理稳妥的手术治疗方案。

术中影像
开颅手术于2021年04月20日由神经外科王宏主任医师团队,贾杉副主任医师、麻醉医师及手术室护士的密切配合下,在显微镜下将肿瘤连同囊肿一并切除。术后中西医结合,加速康复治疗,患者偏瘫的右侧肢体功能很快恢复,出院时可搀扶下地行走,家属对科室工作人员给予了肯定并赠送锦旗表示感谢。出院后随访1月,目前患者右侧肢体肌力及感觉完全恢复正常,生活自理。

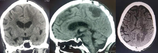
手术后CT影像(肿瘤已经切除)
神经外科王宏主任介绍,患者系镰旁脑膜瘤、肿瘤体积巨大,血供丰富且累及颅内大血管及大脑主管运动感觉的重要功能区,手术有很大的难度和风险。患者高龄,各个脏器功能差,极大增加手术风险。镰旁且累及矢状窦脑膜瘤切除是神经外科疾病手术中技术含量较高的手术,因为肿瘤毗邻大脑运动功能区、且累及上矢状窦,一旦处理不当,极容易引起大出血及加重肢体功能障碍。我院神经外科成功切除这例高龄患者累及上矢状窦的大脑功能区巨大脑膜瘤,且住院时间短,患者恢复快,手术效果好,充分体现了中西医结合治疗脑肿瘤的优越性。
温馨提示:老年性脑膜瘤症状通常不典型,起病隐匿,常与多种疾病共存,并且术后容易出现多种并发症,比如失语、偏瘫、癫痫、感染等等,因此建议老年人体检时要做头颅CT检查,对疾病早发现早治疗
陕西省中医医院神经外科拥有主任医师1名,副主任医师1名,多名中西医结合专家,技术力量全面。神经外科采用手术治疗结合中医康复的方法为广大人民群众提供优质的医疗服务。
专家介绍

王宏
神经外科主任医师,外科学硕士。陕西省抗癌协会神经肿瘤专业委员会常委,陕西省保健协会脊柱脊髓专业委会常委,《中华脑血管病杂志(电子版)》第四届编辑委员会编委及审稿专家。1996年毕业于湘雅医学院临床医学专业,一直在三甲医院从事神经外科临床工作,参与完成科研课题2项,发表论文20余篇,SCI收录论文2篇。
专业特长:一、面肌痉挛、三叉神经痛等颅神经疾病的微创治疗;二、脑血管病的介入及显微手术治疗;三颅内肿瘤、颅脑损伤、颅骨缺损及脑积水的治疗;四、脊柱、脊髓疾病的手术治疗。

贾杉
神经外科硕士学位,副主任医师,对神经外科及普通外科疾病的诊断及治疗有丰富的临床经验。善于治疗颅脑损伤、脑出血、大面积脑梗塞、颅脑肿瘤、颅骨缺损、周围神经损伤修复。擅长脑出血微创穿刺引流术的特色医疗项目,开展了中医特色的颅脑疾病早期康复及并发症防治等业务。发表多篇外科核心期刊论文。
备案号:陕ICP备17003884号-1
电话:029-87213310 【全年咨询时间】08:00-12:00;14:00-17:30
Copyright © 版权所有:All Rights Reserved 陕西省中医医院
陕西省中医医院
陕西省中医药研究院