您好,欢迎访问陕西省中医药研究院陕西省中医医院官方网站!
医生是一个充斥着挑战、辛苦但却充满成就感的职业,从希波克拉底誓言开始,守护生命、与疾病抗争便成为了医者一生的执着。即使医路漫漫,道阻且长,但医者们从未停下脚步,一直在抗击病魔的道路上不断奋进着,陕西省中医医院骨伤二科副主任医师王彦鹏便是其中的一个。

王彦鹏是骨伤二科副主任、副主任医师、陕西医学会青年关节委员会委员、陕西省骨与关节学会中西医结合分会委员、陕西省保健协会骨科内镜微创专业委员会委员和西安市中西医结合骨科专业委员会委员。在治疗各类颈、腰椎间盘突出症,椎管狭窄症、腰椎滑脱、股骨头坏死、膝关节骨性关节炎的中西医结合保守及手术治疗中有独到见解。擅长微创治疗颈椎、腰椎间盘突出症,脊柱压缩性骨折,长期从事脊柱及关节疾病的中西医诊断保守和手术治疗。

时代在进步,医学在发展,当支撑我们身体的骨骼出现问题时,我们也可以通过手术来解决问题。如今,手术的条件变得越来越成熟,人们也不再谈“手术”色变,逐渐接纳手术治疗。由于地区和医疗水平的参差不齐,王彦鹏副主任医师除负责病区及门诊患者的诊疗及手术外,也开始了他来回奔袭的支医路。
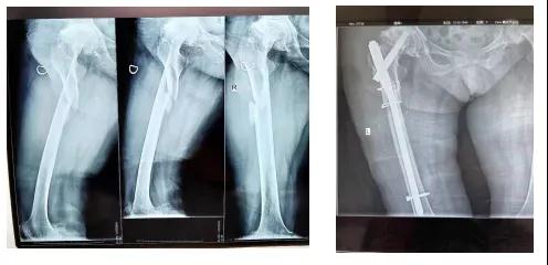
病例一:76岁女性,摔倒致右髋部疼痛活动受限,经诊断为右股骨干骨折,患者有双侧股骨头坏死病史,因手术体位摆放困难,给予PFNA系统髓内钉固定,骨折复位满意,避免长期卧床带来的并发症。

术前 术后
病例二:64岁女性,十多年来左膝关节疼痛、变形,行走困难,多次保守治疗效果不佳,对生活的造成了严重影响,综合评估后,建议患者进行人工膝关节置换,手术置换后患者腿也直了,疼痛也减轻了,生活质量大大提高。

术前 术后
王彦鹏副主任医师志愿去铜川市宜君县中医医院支医,为避免患者奔赴上级医院带来的就医困难,连续协助外科成功开展多台手术,术后患者疗效满意,收获了一致好评与认可,也为当地医院的骨科临床发展提供了切实的指导和帮助。
王彦鹏说,医学飞速发展,我们当携手同行,用最短的时间,最有效的方法,为患者解除病痛,不负生命之重托!

备案号:陕ICP备17003884号-1
电话:029-87213310 【全年咨询时间】08:00-12:00;14:00-17:30
Copyright © 版权所有:All Rights Reserved 陕西省中医医院
陕西省中医医院
陕西省中医药研究院