您好,欢迎访问陕西省中医药研究院陕西省中医医院官方网站!
近日,我院泌尿外科成功完成一例高度隐匿性肾盂癌根治术。综合此次诊疗过程,可谓是抽丝剥茧,层层递进,最终肿瘤露出了它的庐山真面目。

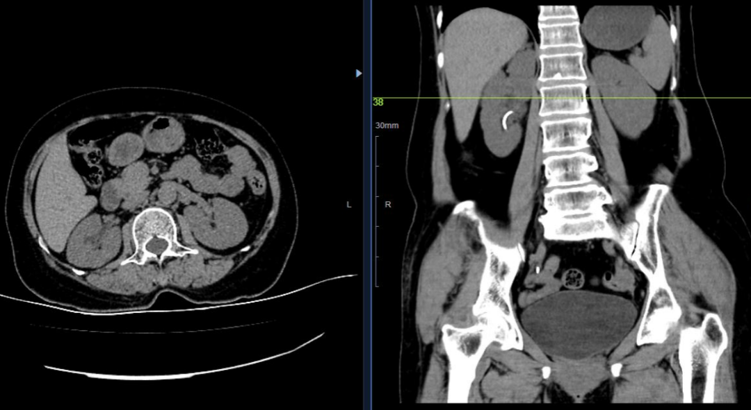
患者贾某,女性,年过六旬,因间断肉眼血尿住院。除血尿之外,并没有尿频、尿急等其他不适。间断性无痛性肉眼血尿首先应该考虑泌尿系统肿瘤,但患者泌尿系统影像学报告均未查见明显肿瘤特征,尿液脱落细胞学检查也未查见脱落的肿瘤细胞。为了进一步明确患者病情,科室特地邀请了原西安交通大学第一附属医院泌尿外科主任党建功教授来科查房并进行此病例讨论,经详细阅片及仔细研判,右侧肾盏内可见低密度影。并制定了进一步的诊查方案。

患者于2022年3月29日再次出现肉眼血尿,我科当机立断为患者行膀胱镜检查,术中见淡红色血性尿液自右侧输尿管口喷出。经过充分的术前准备,于2022年4月1日在全麻下行经尿道输尿管镜右侧肾盂肿物活检术,术中见右肾上盏内灰白色菜花样肿物,术后病检提示为肾盂移行上皮癌,根据病理报告结果,经科室讨论及准备,4月12日由张旭主任医师主刀,侯翔波、贾晓岳医师协助,在全麻下行腹腔镜右侧肾盂癌根治术,术中安全游离解剖显示下腔静脉,分别结扎肾动脉、肾静脉,完整剥离肾脏、腹膜后段输尿管,随后将肾脏完整取出,手术过程顺利。在护理团队的精心护理下,患者于术后第二天已可自行下床活动,手术后病理学检查提示肾盂原发移行上皮癌,已浸润输尿管上段,肾周脂肪囊、输尿管切缘未见癌细胞,经过科室全体医护人员精心照顾与护理,现患者已痊愈出院。感谢麻醉科、手术室科主任护士长及全体人员的保驾护航。此次后腹腔下肾盂癌根治术的成功完成是继2021年度完成后腹腔镜下肾癌根治术、输尿管癌根治术、保留肾单位等手术的又一大突破,同时也标志着我院泌尿外科又向前迈出了一大步。

无痛性尿血最常见于泌尿系上皮肿瘤,当病人发生泌尿系上皮肿瘤时会出现无痛性全程肉眼血尿。当病人发生肾盂癌或输尿管癌时会出现肉眼血尿,并且在膀胱里会出现血丝、血条状。当病人发生膀胱癌时也会出现无痛性肉眼血尿,同时会出现血块。需要做泌尿系B超检查,通过泌尿系B超检查可以发现较大的泌尿系占位性病变。较小的上皮肿瘤需要做泌尿系CTU检查,CTU是CT泌尿成像,可以发现尿路上皮较小的占位病变。部分病人还需要做膀胱镜或输尿管镜检查,才能发现无痛性血尿病变所在。
备案号:陕ICP备17003884号-1
电话:029-87213310 【全年咨询时间】08:00-12:00;14:00-17:30
Copyright © 版权所有:All Rights Reserved 陕西省中医医院
陕西省中医医院
陕西省中医药研究院