您好,欢迎访问陕西省中医药研究院陕西省中医医院官方网站!
按照高质量发展要求,陕西省中医医院脑病医院科室结构经过“强优势、补短板”等一系列改革,成效明显。他们整合医院资源,将包括神经外科、脑病科、脑病康复科联合成立脑病中心,创建包括急救、手术、中医中药辨病、辩证施治、康复等为一体的治疗模式,实现医疗设备、资源、人才共享;提高脑病中风患者的诊断率、治愈率、好转率,降低中风患者的残疾率。

神经外科王宏主任医师加盟后于2023年11月09日开展脑病医院首例脑血管造影手术,脑血管造影术目前是诊断脑血管疾病的"金标准"。
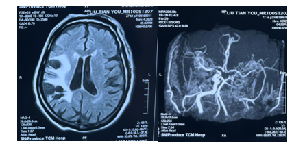
患者77岁男性,以“头晕伴行走不稳10余年”收住我院脑病一科,入院检查头颅MRI+MRA提示:右侧颞、额、顶叶脑梗赛并软化灶形成,右侧侧脑室旁及半卵圆中心多发腔隙性脑梗死,右侧颈内动脉重度狭窄,右侧大脑中动脉、前动脉全程纤细、浅淡,建议DSA进一步检查。

经惠振亮、阮绍萍、王宏主任医师认真评估后,认为患者“脑梗死、脑动脉狭窄”诊断明确,存在进一步脑血管造影检查适应症,与患者及家属沟通后,完善术前相关检查,无明显禁忌症,于2023年11月09日13:00在我院导管室,局麻下行脑动脉造影术,术程顺利,术后患者安返病房。
DSA结果提示:左侧颈总动脉及左侧锁骨下动脉,各血管起始部无异常,右侧锁骨下动脉远端未显影,右侧椎动脉粗大,左侧椎动脉未显影。右侧侧椎底动脉及其分支血管正常,后交通开放,右侧大脑中动脉区域血管显影;右侧颈内动脉起始部闭塞,远端未显影。左侧颈总动脉造影见左侧颈内动脉起始段正常,左侧大脑中、大胶前动脉及其分支血管正常,前交通开放,右侧大脑前动脉及其分支血管正常,右侧大脑中及其分支血管显影,但血管相对较细。
造影的结果为患者下一步的治疗及预后提供了可靠的证据,同时也开创了神经内外科融合发展、探索多学科协调合作的路子,能更好地服务于患者。
脑病医院简介
陕西省中医医院脑病医院是十一五国家中医药管理局脑病重点建设专科,十二五国家中医药管理局脑病重点专科、神志病重点建设专科、中医老年病重点学科单位,是国家首批重大疑难疾病中西医临床协作试点单位,中国卒中中心建设单位,经过30余年的发展,形成了集医、教、研于一体的综合型院中院。
目前脑病医院成立脑病一科、脑病二科、脑病康复科、老年病科、神经外科及卒中中心。诊疗病种以脑病科(神经内科)常见疾病为主,包括中风(脑血管疾病)、眩晕(内耳性或中枢性眩晕)、不寐(睡眠障碍)、郁病(抑郁障碍、焦虑障碍、精神分裂等)、痴呆(阿尔茨海默病、额颞叶痴呆)、痫病(癫痫)、痿病(运动神经元病)及颤病(帕金森病)等,神经外科团队熟练掌握脑血管造影、机械取栓、开颅减压手术、锥颅手术等常见神经科急危重症治疗技术。
备案号:陕ICP备17003884号-1
电话:029-87213310 【全年咨询时间】08:00-12:00;14:00-17:30
Copyright © 版权所有:All Rights Reserved 陕西省中医医院
陕西省中医医院
陕西省中医药研究院