您好,欢迎访问陕西省中医药研究院陕西省中医医院官方网站!
66岁的胡大爷一觉醒来突然偏瘫失语,被紧急送往省中医院救治,诊断为脑卒中,急性大血管闭塞。陕西省中医医院当即开通卒中救治绿色通道,卒中团队争分夺秒为其实施了急诊介入动脉取栓术,成功开通堵塞的大血管,挽救了胡大爷的生命。
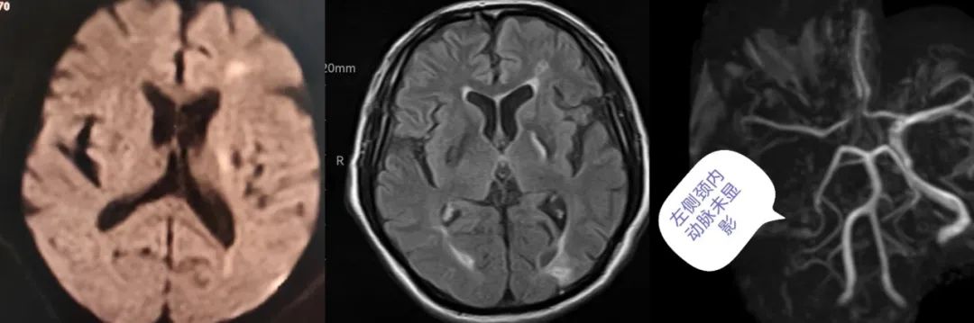
2023年12月15日下午,胡大爷的老伴发现丈夫一觉醒来不仅讲不出话来,右半边身体还基本不能动,随后赶紧将他送往陕西省中医医院就诊。抵达医院急诊科,医生查看询问患者病史,初步考虑为脑卒中。为了确保患者的生命安全,医疗处副处长屈小元和脑病医院院长惠振亮紧急协调相关科室,立即启动卒中救治绿色通道,完善头颅CT、MRI检查,诊断为急性脑梗塞,左侧颈内动脉闭塞。患者嗜睡、失语,右侧上肢肌力0级,右下肢肌力2级,情况十分危急。

据家属描述,患者凌晨3点入睡前一切正常,中午12点醒后右侧肢体无力,15点不能讲话、右侧肢体基本不能动。结合患者的病史和发病情况,医生判断胡大爷属于典型的醒后卒中,神经外科王宏主任医师和脑病一科陈钧主任医师综合评估病情和风险,考虑为左侧颈动脉闭塞引起的急性脑梗塞,由于患者发病时间长,超过静脉溶栓的时间窗,若不及时手术,出现大面积脑梗死,将会导致严重残疾,甚至随时会有生命危险。
医生当机立断,“必须立刻准备取栓!”与胡大爷的家属充分沟通后,家属同意手术治疗,随后迅速将患者送入导管室。术中脑血管造影显示,左侧颈内动脉闭塞,卒中中心介入团队利用抽吸导管,成功取出暗红色的血栓,颈内动脉眼段重度狭窄,用球囊予以扩张成形,使患者闭塞的血管得到及时的再通,血流恢复正常。目前胡大爷语言、右侧肢体肌力恢复正常,已经行走着出院。

该院神经外科王宏主任介绍,像他这种一觉醒来发现中风的情况在临床上并不少见,这类患者被称为醒后卒中,是十分危险的一种中风类型,患者入睡时正常,但醒后出现卒中症状。由于醒后卒中多发生在睡眠状态下,很难被及时发现,而且发病时间不确切,容易错过最佳的治疗时机。随着影像学技术的发展,对醒后卒中以及起病时间不明者,应及时行多模影像学检查,对时间未知或超时间窗的患者在符合适应证的情况下应即刻取栓治疗。
专家提醒:脑梗塞是致残致死率极高的疾病,发病后4.5-6小时内是救治的“黄金时间”。一旦出现言语不清、一侧肢体麻木、无力,口眼歪斜等症状,特别是发生醒后卒中时,应立即送往有卒中救治能力的医院。为保障患者的生命安全,陕西省中医医院为急危重症患者开通绿色通道,确保急危重症患者得到及时救治。
脑病医院简介
陕西省中医医院脑病医院是十一五国家中医药管理局脑病重点建设专科,十二五国家中医药管理局脑病重点专科、神志病重点建设专科、中医老年病重点学科单位,是国家首批重大疑难疾病中西医临床协作试点单位,中国卒中中心建设单位,经过30余年的发展,形成了集医、教、研于一体的综合型院中院。
目前脑病医院成立脑病一科、脑病二科、脑病康复科、老年病科、神经外科及卒中中心。诊疗病种以脑病科(神经内科)常见疾病为主,包括中风(脑血管疾病)、眩晕(内耳性或中枢性眩晕)、不寐(睡眠障碍)、郁病(抑郁障碍、焦虑障碍、精神分裂等)、痴呆(阿尔茨海默病、额颞叶痴呆)、痫病(癫痫)、痿病(运动神经元病)及颤病(帕金森病)等,神经外科团队常规可开展手术:(1)脑血管疾病的介入及显微外科手术治疗;(2)显微血管减压术治疗面肌痉挛及三叉神经痛;(3)面瘫及偏侧肢体瘫痪的神经修复治疗;(4)颅脑损伤、脑积水及颅骨缺损;(5)颅内及椎管内肿瘤。
备案号:陕ICP备17003884号-1
电话:029-87213310 【全年咨询时间】08:00-12:00;14:00-17:30
Copyright © 版权所有:All Rights Reserved 陕西省中医医院
陕西省中医医院
陕西省中医药研究院